Gum Depigmentation

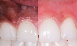
Gum depigmentation  is a procedure used in cosmetic dentistry to remove black spots or patches on the gums caused by excessive melanin.

The normal color of the gum tissue  is pink, but excess deposits of melanin  can create what seem to be black spots or patches on the gums, creating an aesthetic or cosmetic problem in smile and result in lowering confidence and self steem of person.

Discolouration may genetically inherited from parents or can also be caused by long term use of certain medications.

A clinical assessment is carried out at Dr. Yojna’s dental clinic, Jaipur to customize the treatment to the patients needs, and the procedure itself can involve surgical, chemical, or laser ablation techniques.If you desire more attractive gums that will have you showing off your full beautiful smile, schedule a consultation with Dr. Yojna shriwas.

GumDepigmentation                                        PinkGums                                     DentalClinicInJaipur

DentalImplant                                                   TeethWhitening                            DrYojnaDentalClinicInJaipur

// Best Dental Clinic // Dentist Near You // Dental Implants // Dental Clinic In Vaishali Nagar // Root canal// Dentist Near me // Teeth Whitening // Kids Dentist // Braces

Book an Appointment